אתר זה משתמש בעוגיות כדי לשפר את החוויה שלך.נניח שאתה בסדר עם זה, אבל אתה יכול לבטל את הסכמתך אם תרצה. קרא עוד
דף הבית / יישור שיניים
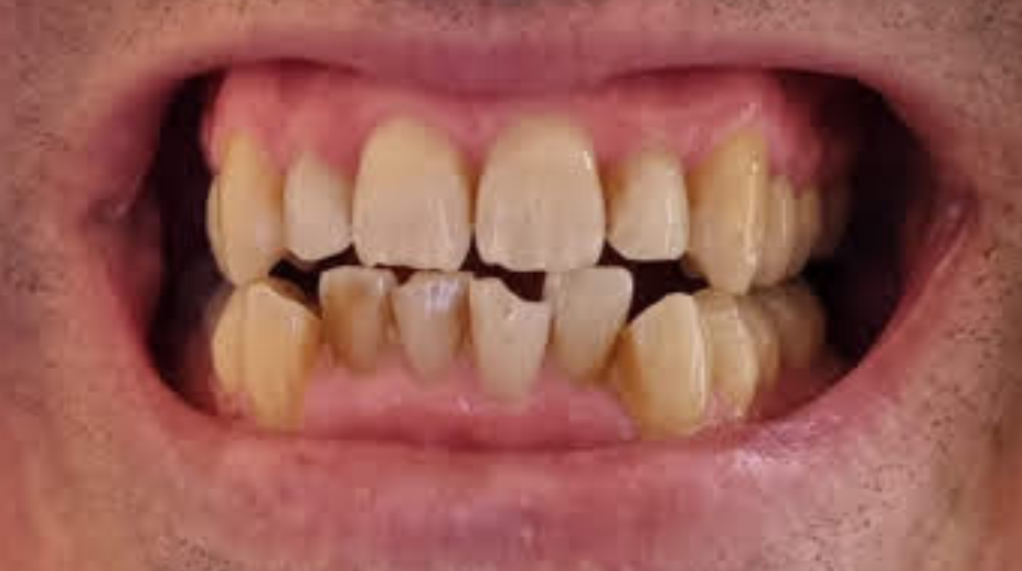
עולם יישור השיניים עבר מהפכה, ו־4D Aligner המקורי הוא הדור החדש שלה.
ב־Get Smile אנו גאים להציע את טכנולוגיית 4D Aligner מבית LuxCreo, מערכת קשתיות שקופות מתקדמת המיוצרת בהדפסה תלת־ממדית עם טכנולוגיית ActiveMemory™, זיכרון צורה חכם.
בניגוד לשיטות הישנות של ברזלים, קשתיות בלחיצה או קשתיות תרמו־פורמינג, כאן מדובר בטכנולוגיה עתידנית אמיתית:
קשתית דנטלית שמתחדשת מדי יום, שומרת על הכוח והדיוק שלה, ומזיזה את השיניים בצורה רציפה, עדינה וללא כאבים.
הקשתיות שקופות במיוחד, ברוב המקרים ללא אטצ'מנטים (קוביות), קלות להוצאה ולהרכבה וכמעט לא מורגשות בשגרה.
זה יישור שיניים שמתאים לחיים האמיתיים: עבודה, לימודים, פגישות, ספורט וחיוך חופשי.
אבחון ותכנון דיגיטלי מדויק
בפגישת האבחון מתבצעת בדיקה מקצועית וסריקה דיגיטלית של השיניים.
הרופא מתכנן תנועה מדויקת לכל שן – בצורה חכמה ולא פולשנית.
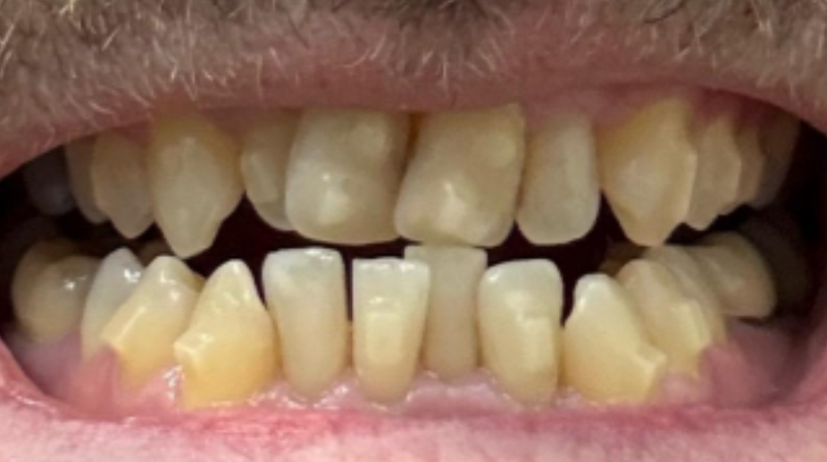
ייצור קשתיות 4D בהתאמה אישית
הקשתיות מיוצרות בהדפסה תלת־ממדית מתקדמת, ללא חימום, כיפוף או יציקות
מה שמבטיח דיוק גבוה במיוחד וללא “עייפות חומר”.
ActiveMemory™ – התחדשות יומית
הקשתית עשויה מחומר חכם בעל זיכרון צורה.
טבילה יומית במים חמים מחזירה אותה לצורתה המקורית
כך שהכוח נשמר והקשתית מרגישה כמו חדשה כל יום.
תנועה רציפה, נוחה ויעילה
החומר הגמיש מאפשר תנועה עדינה ועקבית של השיניים
עם פחות לחץ, פחות תקלות ופחות צורך בתיקונים.
שגרה קלה וביקורים מינימליים
קל להכניס, קל להוציא, קל לשמור על היגיינה
והכול עם פחות ביקורים במרפאה ויותר נוחות ביומיום.
אצלנו לא רק מחייכים - יוצאים עם ביטחון חדש.
צוות רופאים ומטפלים מהמובילים בישראל באסתטיקה דנטלית ורפואית.
טכנולוגיות חדשניות וחומרים בלעדיים להבטחת תוצאה מושלמת.
יחס אישי, אווירה משפחתית וחוויה רגועה - כי נוחות המטופל היא בלב הכל.
תוצאות מיידיות, טבעיות ומדויקות - בדיוק כמו שחלמתם.
הגעתי לגט סמייל להלבנת שיניים, והתוצאה עלתה על כל הציפיות! השיניים שלי נראות בהירות וטבעיות, ואני לא יכולה להפסיק לחייך. הצוות היה מקצועי וסבלני, והחוויה הייתה פשוט נהדרת. תודה לצוות גט סמייל על החיוך החדש שלי!
עשיתי הלבנת שיניים בגט סמייל, ואני כל כך מרוצה מהתוצאה! השיניים שלי בהירות וזוהרות, בדיוק כמו שרציתי. התהליך היה מהיר ונטול כאב, והצוות היה מקסים ודאג לי לכל אורך הדרך. ממליץ בחום על גט סמייל
אני לא מאמינה איך השיניים שלי נראות אחרי הלבנת שיניים בגט סמייל! החיוך שלי נראה מיליון דולר, והצוות היה מקצועי ואדיב. החוויה הייתה קלילה והתוצאה מושלמת. תודה רבה לגט סמייל על חיוך מהמם!
אני לא מאמינה איך השיניים שלי נראות אחרי הלבנת שיניים בגט סמייל! החיוך שלי נראה מיליון דולר, והצוות היה מקצועי ואדיב. החוויה הייתה קלילה והתוצאה מושלמת. תודה רבה לגט סמייל על חיוך מהמם!
השאירו פרטים ונחזור אליכם עם כל המידע על הטיפולים המתקדמים שלנו!
אתר זה משתמש בעוגיות כדי לשפר את החוויה שלך.נניח שאתה בסדר עם זה, אבל אתה יכול לבטל את הסכמתך אם תרצה. קרא עוד