הלבנת שיניים בייתית.

סטריפים להלבנת שיניים - Get Smile Whitening Strips

סטריפים להלבנת שיניים הם אחד הפתרונות הפשוטים והאהובים בעולם לשדרוג החיוך בבית אבל אצלנו ב־Get Smile זה לא עוד מוצר מדף.
מדובר ברצועות הדבקה חכמות שמצמידות את חומר ההלבנה בצורה הרמטית ומדויקת לכל שן ושן כך שהחומר מתפשט באופן מאוזן על פני שטח השיניים ומאפשר תוצאה אחידה.

הסטריפים מיועדים ל־3 סוגי אנשים:

✅ מי שעשה הלבנה מקצועית במרפאה ורוצה לשמר את התוצאה
✅ מי שרוצה שיפור הדרגתי של הגוון בבית בלי סדים ובלי כאב ראש
✅ מי שמחפש פתרון חכם לפני אירוע, חתונה, צילומים או פשוט "להרגיש מסודר"

איך זה עובד.

  • שימוש פשוט וחד־פעמי – אין צורך בהכנה, סדים או חומרים נוספים.
  • הצמדה הרמטית ומדויקת – הרצועות נצמדות לכל שן בהתאמה אישית.
  • 0 זמן כיסא במרפאה – הכול מתבצע בבית.
  • חוסך סד אישי – אין צורך להמתין או לשלם על התאמה מיוחדת.
  • שימור ושדרוג של הלבנה מקצועית – אידיאלי למי שכבר עבר טיפול במרפאה.
  • תוצאה אחידה ומראה טבעי – בלי “כתמים” ובלי הבדלים בגוון.
  • רעננות וניקיון בפה – בזכות רכיבים משלימים.

נוסחת ההצלחה שלנו פשוטה ומדויקת.

אצלנו לא רק מחייכים - יוצאים עם ביטחון חדש.

צוות רופאים ומטפלים מהמובילים בישראל באסתטיקה דנטלית ורפואית.

טכנולוגיות חדשניות וחומרים בלעדיים להבטחת תוצאה מושלמת.

יחס אישי, אווירה משפחתית וחוויה רגועה - כי נוחות המטופל היא בלב הכל.

תוצאות מיידיות, טבעיות ומדויקות - בדיוק כמו שחלמתם.

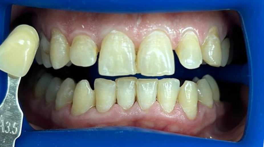
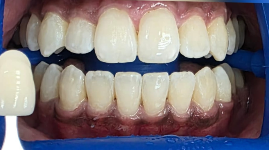
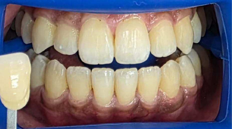
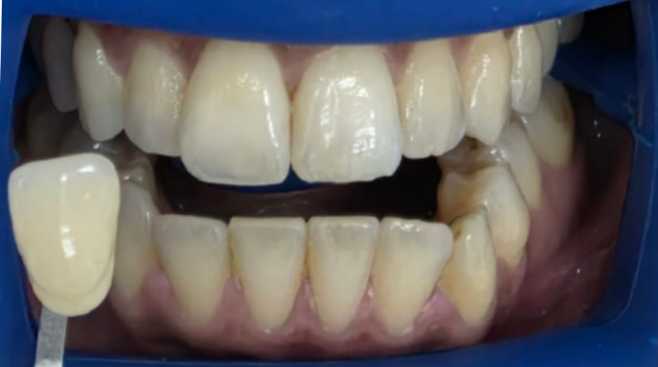
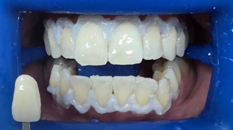
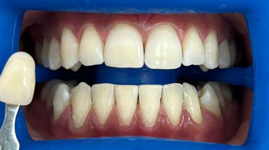
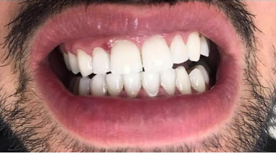
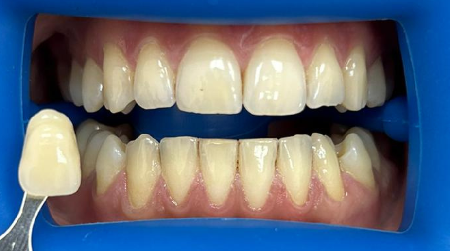
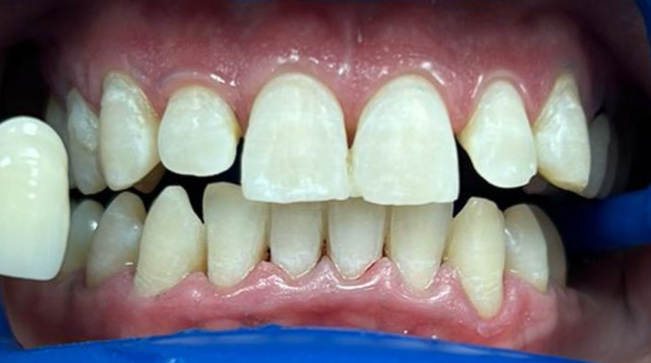
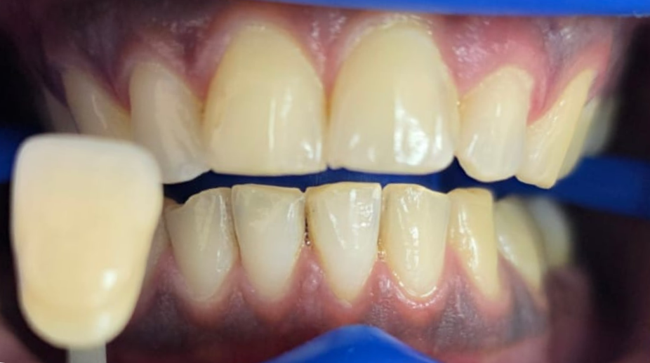
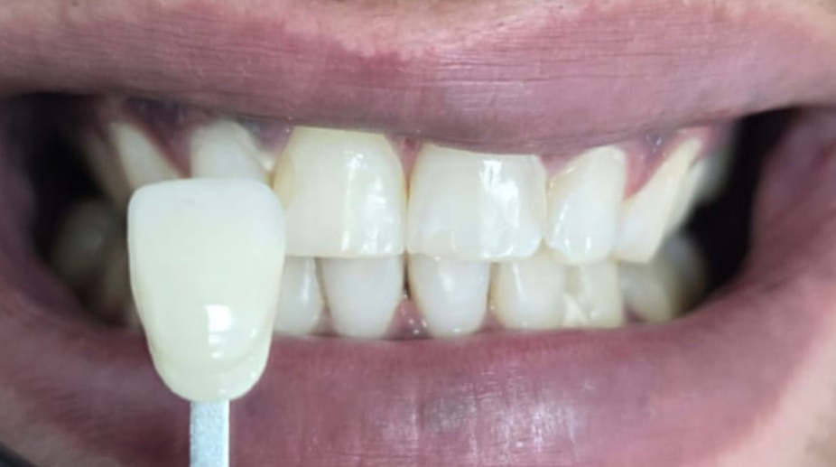
התוצאות שלנו.

3 4
לפני
אחרי
5 6
לפני
אחרי
1 2
לפני
אחרי
הלבנת שיניים לפני - 1 הלבנת שיניים אחרי - 1
לפני
אחרי
הלבנת שיניים לפני - 2 הלבנת שיניים אחרי - 2
לפני
אחרי
הלבנת שיניים לפני - 3 הלבנת שיניים אחרי - 3
לפני
אחרי
הלבנת שיניים לפני - 4 הלבנת שיניים אחרי - 4
לפני
אחרי
הלבנת שיניים לפני - 5 הלבנת שיניים אחרי - 5
לפני
אחרי

המומחים שמאחורי החיוכים.

ד”ר יחיאל יוסופוב
ד”ר מאיר מורדוב (1)
דר מישל ג׳אנו
דר סופיה שלייפר

מידע חשוב על הלבנת שיינים.

האם מותר לשתות קפה אחרי הלבנת שיניים?

ב־24–48 השעות הראשונות מומלץ להימנע ממשקאות וממאכלים צבעוניים כמו קפה, יין אדום, קולה או רטבים כהים כדי לשמור על התוצאה.

 

[...]
קרא עוד
האם הלבנת שיניים פוגעת בשיניים?

כאשר הטיפול מבוצע בצורה מקצועית ובאמצעות חומרים מאושרים, ההלבנה אינה אמורה לפגוע באמייל השן. חשוב לבצע את הטיפול רק אצל גורם מקצועי ומנוסה.

 

[...]
קרא עוד
האם הלבנת שיניים באמת עובדת?
ברוב המקרים התוצאה נשמרת בין מספר חודשים לשנתיים, בהתאם להרגלי התזונה וההיגיינה של המטופל. שתייה מרובה של קפה, תה או עישון יכולים להשפיע על משך התוצאה.   אודות הדוקטור אולי יעניין אותך גם. ד"ר מאיר מורדוב מה ההבדל בין 4D Aligner ל [...]
קרא עוד
כמה זמן מחזיקה הלבנת שיניים?
כן. הלבנת שיניים מקצועית יכולה להבהיר את גוון השיניים בצורה משמעותית ולהסיר כתמים שנוצרו מקפה, עישון, יין אדום ומזונות שונים. ב־Get Smile משתמשים בחומרים מתקדמים ובטכנולוגיות בטוחות שמטרתן להעניק תוצאה טבעית [...]
קרא עוד
מה עדיף – הלבנת שיניים ביתית או במרפאה?
הלבנה במרפאה מעניקה בדרך כלל תוצאה מהירה וחזקה יותר, בעוד שהלבנה ביתית מתאימה לשימור התוצאה או לשיפור הדרגתי. ב־Get Smile קיימים גם סטריפים להלבנת שיניים לשימוש ביתי.   אודות הדוקטור אולי יעניין אותך גם. [...]
קרא עוד

עדכונים וטיפים מעולם האסתטיקה.